Spinal tumors
Spinal tumors represent a range of neoplasms within the CNS. Compared to intracranial tumors, they are less common, accounting for approximately 15% of all CNS tumors [1]. The most common tumors of the spinal cord are secondary tumors - the vast majority are metastases of lung, breast, prostate, kidney and thyroid cancer. [2][3].
Within the treatment modalities, surgery supplemented with radiotherapy and chemotherapy predominates. It is important to solve the problem immediately - although benign tumors usually grow slowly, they can progress rapidly, and despite subsequent decompression, functions may not fully recover.
Classification[edit | edit source]
Spinal tumors are divided on the basis of:
- localization - extradural and intradural (those further to extramedullary and intramedullary),
- biological nature - malignant and benign,
- origin - primary spinal neoplasia or secondary tumors.
It should be noted that although in this article we classify individual neoplasias into individual groups, often a given tumor does not have to occur in only one. The following classification is therefore based on the most common and common localization for a given tumor.
Classification of primary spinal tumors - only metastases are classified as secondary spinal cord tumors[4]:
| EXTRADURAL | INTRADURAL | ||
|---|---|---|---|
| Benign | Malignant | Extramedullary | Intramedullary |
|
|
|
|
Diagnostics[edit | edit source]
- MR – primary choice, especially axial and sagittal T1 and T2 images. In practice, DTI (diffusion tensor imaging) and FT (fiber tractography) are already commonly used for more detailed imaging of white matter pathways (their displacements, compression, etc.) due to tumor location. [5][6][7].
- CT – used mainly before MR, nowadays it is definitely not an imaging method of first choice in the field of spinal tumor diagnostics [8]. However, it can be performed as an additional examination, most often in extradural spinal tumors for imaging of calcifications, mineralizations, etc. [9]
- Angiography – additional diagnostic method for imaging eg vascularization in case of hypervascular tumors, embolization, etc. [10]
- RTG – especially in extradural tumors for imaging bone abnormalities.
- PET/CT – indicated especially in patients with intramedullary high-grade tumors to evaluate their malignancy [11].
- Diagnostika: DTI, MRI
Extradural tumors[edit | edit source]
Extradural tumors represent the majority of spinal tumors (55%)[4]. These are mostly secondary tumors.
Primary extradural tumors[edit | edit source]
Primary extradural tumors are more common CNS neoplasms compared to primary intradural tumors. They mainly represent vertebral tumors causing a diverse spectrum of bone deformities, which result in spinal cord or cauda compression and associated problems. [4]
Benign[edit | edit source]
Osteoid osteoma[edit | edit source]
Iron
Osteoid osteoma is a benign bone tumor that occurs predominantly in children and adolescents. They typically have lucrative nidus (usually 1.5-2 cm in size) and an osteosclerotic margin. Osteoid osteomas of the spine, most often located in the lumbar part, represent approximately 10% of all osteoid osteomas - primarily these tumors occur in the long bones (most often the femur, tibia). [12]
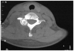
Spinal osteoid osteomas in the vast majority cause painful scoliosis, concavely on the lesion side, vertebral deformities create compression on the spinal cord. The therapy is surgical, or radiofrequency ablation is used. [13][14] náhled|CT – spinální osteoblastom
Osteoblastoma[edit | edit source]
Iron
Osteoblastoma is also a benign tumor that occurs predominantly in younger patients and is characterized by its local aggressiveness. It is typically significantly vascularized, unlike osteoid osteoma, does not contain an osteosclerotic margin, otherwise they are histologically very similar. Osteoblastoma occurs in spongiosis, usually exceeding the size of 2 cm. [15][16][17]
The incidence of spinal osteoblastomas is approximately 40% of all osteoblastomas, most often occurring in the cervical area, they also cause very painful back pain associated with scoliosis. The procedure of therapy is more or less identical to osteoid osteoma. [18]
Malignant[edit | edit source]
Osteosarcoma[edit | edit source]
Iron
This malignant bone tumor typically occurs in younger patients (10-20 years), with up to 75% of these tumors occurring in patients under the age of 20 - bone growth centers are most active at this time. It can also grow secondarily, most often in elderly patients, it is a malignant degeneration of Paget's disease, osteoblastoma, etc. In osteosarcomas, the prevalence is predominant in the femur, tibia, humerus - and less often in the fibula, mandible, maxilla, vertebrae. [19][20]
It most often metastasizes to the lungs, brain, other bones and organs [21]. It can be treated with chemotherapy, surgical resection, and is relatively resistant to radiotherapy.
Chondrosarcoma[edit | edit source]
Iron
Chondrosarcomas represent approximately 25% of primary bone tumors. Unlike osteosarcomas, they are more common in elderly patients, mostly in men (female: male ratio is 1: 2, in spinal lesions this ratio is up to 1: 4). In most cases, these are malignant primary tumors, but there are also secondary chondrosarcomas that have grown on the basis of initially benign neoplasia, such as osteochondroma.. [22][23]
Within the spine, they most often occur in its thoracic part, although spinal chondrosarcomas represent only 7% of all these tumors. As in the case of osteosarcoma, they most often occur in the long bones. The therapy is primarily surgical, but chemotherapy or radiotherapy may be applied depending on the type and behavior of the tumor. [24][25][26]náhled|MRI – metastáza prsního karcinomu
Secondary extradural tumors[edit | edit source]
Secondary tumors of the spinal cord are caused by metastases of cancers from various areas of the body. The most common cancers are lung, breast, prostate, kidney, thyroid [2][3]. Extradural metastases represent about all 95% of spinal metastases [27].
The most frequently affected area of extraspinal metastases is the thoracic and lumbar segment of the spine - the cervical area is minimally affected [2].
Intradural tumors[edit | edit source]
Intradural spinal tumors are a relatively rare entity in CNS neoplasms, which, however, can result in significant morbidity. [28]. Extramedullary tumors predominate in number, representing approximately 40% of spinal tumors, only 5% of spinal tumors are intramedullary [4]. Among intradural tumors (especially intramedullary), primary tumors predominate.
A special entity of intradural tumors are the so-called dumbbell tumors, which cannot be classified into either extramedullary or intramedullary tumors, as they grow at the border of the spinal cord and thus affect both of these areas. [4].
| Extramedullary | Intramedullary | |
|---|---|---|
| Children (%) | 65–70 | 30–35 |
| Adults (%) | 80 | 20 |
Primary intradural tumors[edit | edit source]
Extramedullary tumors[edit | edit source]
Extramedullary tumors represent the majority of intradural tumors, the vast majority being benign CNS neoplasias. The primary treatment is in most cases surgical, according to the individual dispositions of the patient there is the possibility of applying radiotherapy or chemotherapy. All symptomatology associated with these tumors is dependent on the location and size of the neoplasia, primarily spinal cord or cauda compression and related symptoms. [4] náhled|MRI – spinální meningeom
Meningeom[edit | edit source]
Iron
Compared to intracranial meningiomas, spinal lesions are less common (approximately 1.2–12.7% of all meningiomas). Spinal meningiomas are most commonly diagnosed in patients between 60 and 80 years of age. They grow slowly, are usually solitary, benign, lateral expansion within the subarachnoid space is typical, they are well demarcated, non-invasive.
In both intracranial and spinal meningiomas, there is considerable gender predominance in women (2: 1 ratio [women: men] in intracranial meningiomas, 4: 1 in spinal meningomes). This is associated with the association of meningiomas with breast cancer, as well as a greater likelihood of tumor growth during pregnancy. This is because meningiomas usually contain esterogenic and progesterone receptors.[29][30][31][32]
The most common localization of spinal meningiomas is the thoracic segment of the spine, followed by the cervical area. Spinal cord functions are compensated for a long time, but decompensation can take place quickly and this can lead to an acute worsening of the patient's condition (most often paraplegia). [33][34][35] First definition of ecotoxicology (1969): René Truhaut: the study of the adverse effects of chemicals with the aim of protecting natural species and communities. Rachel Carson (1962): the memoir The Silent Spring highlights the use of pesticides , especially DDT and other agrochemicals. The book led to the establishment of the US Environmental Protection Agency (EPA) in the USA. Introduction of methods describing the toxic effects of human-produced substances on the environment and the organisms contained therein. Systematic implementation of fish toxicity testing methods. In addition to direct toxic effects, the effects of bioconcentration and bioaccumulation are studied – increases in the concentration of foreign substances in the tissues of organisms as a result of exposure from the environment.
2004 EC ratification: Persistent Organic Pollutants Protocol to the 1979 Convention on Long-Range Transboundary Air Pollution The aim of the protocol is to limit, reduce or eliminate the discharge, emissions and losses of persistent organic pollutants that have significant adverse effects on human health or the environment due to long-range transboundary air transport.
In 2006 , Regulation No. 166/2006 of the European Parliament and the EC Council was issued, establishing the European Register of Releases and Transfers of Pollutants . It represents a publicly accessible database of pollutant releases into the air, water and soil, information on wastewater, information on pollutant releases from dispersed sources.
In 2003 , the proposal for a new framework for legislation covering the safety of chemicals REACH (Registration, Evaluation and Authorization of Chemicals) was accepted by the European Commission and approved by the European Parliament . Enterprises and firms that import more than 1 ton of a chemical compound per year will be forced to register this chemical in a central data bank. The aim is to improve the protection of the health of nature, including people, to increase the innovation capacity and the ability of the chemical industry to compete in the European Union. The new measures concern not only new chemical substances introduced to the market, but also substances that have been used for a long time. The program aims to ensure that by 2020 at the latest, only chemical substances with known properties and in a way that does not harm human health and the environment are used. [[Soubor:Nf-1 multiple neurofibromas.jpg|náhled|MRI – neurofibromatóza prvního typu (NF-1) a koincidence multiplicitních spinálních neurofibromů]]
Neurofibroma[edit | edit source]
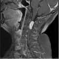
Neurofibromas are primarily benign tumors of the peripheral nervous system, representing approximately 23% of spinal tumors. Neurofibromas are most commonly associated with type 1 neurofibromatosis (NF-1) - up to 60% of patients primarily diagnosed with NF-1 have neurofibromas present. They most often occur in the thoracic segment of the spine. [36][37]
They typically grow intradurally extramedullary, but occurrences of these neoplasias have also been reported in the intramedullary region. [38].
Schwannom[edit | edit source]
Iron
Spinal schwannomas are slow-growing benign tumors. They most commonly occur in patients between 25 and 60 years of age. They are composed of relatively well-differentiated Schwann cells, so they characteristically grow from dorsal roots due to their development from sensory nerve root cells. They most often occur in the thoracic and cervical parts of the spinal cord, although they can also grow in other spinal cord areas. [39][40]
They occur predominantly solitary, mostly sporadically, although multiple schwannomas, which are most often associated with neurofibromatosis of the second type (NF-2), or with schwannomatosis [41][42][43][44].First definition of ecotoxicology (1969): René Truhaut: the study of the adverse effects of chemicals with the aim of protecting natural species and communities. Rachel Carson (1962): the memoir The Silent Spring highlights the use of pesticides , especially DDT and other agrochemicals. The book led to the establishment of the US Environmental Protection Agency (EPA) in the USA. Introduction of methods describing the toxic effects of human-produced substances on the environment and the organisms contained therein. Systematic implementation of fish toxicity testing methods. In addition to direct toxic effects, the effects of bioconcentration and bioaccumulation are studied – increases in the concentration of foreign substances in the tissues of organisms as a result of exposure from the environment.
2004 EC ratification: Persistent Organic Pollutants Protocol to the 1979 Convention on Long-Range Transboundary Air Pollution The aim of the protocol is to limit, reduce or eliminate the discharge, emissions and losses of persistent organic pollutants that have significant adverse effects on human health or the environment due to long-range transboundary air transport.
In 2006 , Regulation No. 166/2006 of the European Parliament and the EC Council was issued, establishing the European Register of Releases and Transfers of Pollutants . It represents a publicly accessible database of pollutant releases into the air, water and soil, information on wastewater, information on pollutant releases from dispersed sources.
In 2003 , the proposal for a new framework for legislation covering the safety of chemicals REACH (Registration, Evaluation and Authorization of Chemicals) was accepted by the European Commission and approved by the European Parliament . Enterprises and firms that import more than 1 ton of a chemical compound per year will be forced to register this chemical in a central data bank. The aim is to improve the protection of the health of nature, including people, to increase the innovation capacity and the ability of the chemical industry to compete in the European Union. The new measures concern not only new chemical substances introduced to the market, but also substances that have been used for a long time. The program aims to ensure that by 2020 at the latest, only chemical substances with known properties and in a way that does not harm human health and the environment are used.
- MRI – spinální schwannomy
Intramedullary tumors[edit | edit source]
The occurrence of intramedullary tumors is relatively rare, but their treatment is often very demanding. Approximately 90% of all intramedullary spinal tumors are glial tumors, the most common of which are ependymomas (60%) and astrocytomas (30%). The third place is represented by hemangioblastomas. These neoplasias are primarily treated surgically, but there is often no possibility of complete resection due to the eloquent location and size of the tumors. Surgery and radiosurgery / chemotherapy are usually added. [4][28] náhled|MRI – spinální myxopapilární ependymom
Ependymoma[edit | edit source]
Iron
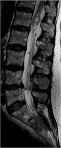
Spinal cord ependymomas are more common in adult patients (typically between 35 and 45 years of age) and represent the majority (60%) of all primary intramedullary tumors. [4][45][46]. There are both benign, semi-minimal and malignant forms [47]. Most often, spinal ependymomas are located in the thoracic segment of the spinal cord, although they can occur along its entire length. [4].
The only effective treatment for ependymomas is currently the most radical surgical resection, or. supplemented by radiosurgical treatment according to the type of tumor. First definition of ecotoxicology (1969): René Truhaut: the study of the adverse effects of chemicals with the aim of protecting natural species and communities. Rachel Carson (1962): the memoir The Silent Spring highlights the use of pesticides , especially DDT and other agrochemicals. The book led to the establishment of the US Environmental Protection Agency (EPA) in the USA. Introduction of methods describing the toxic effects of human-produced substances on the environment and the organisms contained therein. Systematic implementation of fish toxicity testing methods. In addition to direct toxic effects, the effects of bioconcentration and bioaccumulation are studied – increases in the concentration of foreign substances in the tissues of organisms as a result of exposure from the environment.
2004 EC ratification: Persistent Organic Pollutants Protocol to the 1979 Convention on Long-Range Transboundary Air Pollution The aim of the protocol is to limit, reduce or eliminate the discharge, emissions and losses of persistent organic pollutants that have significant adverse effects on human health or the environment due to long-range transboundary air transport.
In 2006 , Regulation No. 166/2006 of the European Parliament and the EC Council was issued, establishing the European Register of Releases and Transfers of Pollutants . It represents a publicly accessible database of pollutant releases into the air, water and soil, information on wastewater, information on pollutant releases from dispersed sources.
In 2003 , the proposal for a new framework for legislation covering the safety of chemicals REACH (Registration, Evaluation and Authorization of Chemicals) was accepted by the European Commission and approved by the European Parliament . Enterprises and firms that import more than 1 ton of a chemical compound per year will be forced to register this chemical in a central data bank. The aim is to improve the protection of the health of nature, including people, to increase the innovation capacity and the ability of the chemical industry to compete in the European Union. The new measures concern not only new chemical substances introduced to the market, but also substances that have been used for a long time. The program aims to ensure that by 2020 at the latest, only chemical substances with known properties and in a way that does not harm human health and the environment are used.
Astrocytoma[edit | edit source]
Iron
Spinal astrocytomas represent the most common intramedullary tumor in children, in adult patients they represent the second position (after ependymomas). They are marked by variability in their biological nature.
In general, the prevalence of low-grade astrocytomas (WHO grade I and II) predominates, accounting for 75-90% of all intramedullary astrocytomas. These are slow-growing benign tumors, which, however, may develop into more malignant forms. High-grade astrocytomas (WHO grade III and IV) do not occur as often, but they are highly malignant and the prognosis of patients with these tumors is not good.. [48][49]
As with ependymomas, astrocytomas follow the most radical surgical resection possible. The outcome of a surgical intervention together with a given tumor type fundamentally affects the patient's postoperative prognosis. In adult patients, the prognosis is better compared to children. [50][51][52][53][50][54]
Hemangioblastoma[edit | edit source]
Hemangioblastomas are histologically benign CNS neoplasias, classified by the WHO as WHO grade I. These are most often sporadic tumors, but in some cases there is a coincidence of von Hippel-Lindau syndrome (of all patients diagnosed with hemangioblastoma, it is approximately 10-40% [55]) – in this case, multiple CNS hemangioblastomas are present in the patients. The spinal cord is the second most common site of this tumor after the posterior fossa. [56][57][58]
Although it is a relatively rare spinal tumor (2-6% of all spinal tumors), it is the third most common neoplasia after ependymomas and astrocytomas. [59][60]. Iron
- Spinální hemangioblastomy a von Hippel-Lindau syndrom
Secondary intradural tumors[edit | edit source]
There are fewer secondary intradural tumors compared to primary intradural tumors. Again, as in the case of secondary extradural tumors, these are metastases, although their incidence is minimal [4][61]. Intradural metastases represent only about 5% of spinal metastases, of which only 2% occur intramedullary [62][63].
Links[edit | edit source]
Related articles[edit | edit source]
External links[edit | edit source]
References[edit | edit source]
- ARNAUTOVIĆ, Kenan – GOKASLAN, Ziya. Spinal Cord Tumors. - edition. Springer, 2019. 540 pp. ISBN 9783319994383.
- CANCER, International. WHO Classification of Tumours of the Central Nervous System. - edition. International Agency for Research on Cancer, 2007. 309 pp. ISBN 9789283224303.
- KLEKAMP, Jörg – SAMII, Madjid. Surgery of Spinal Tumors. - edition. Springer Science & Business Media, 2007. 526 pp. ISBN 9783540447153.
- ATLAS, Scott. Magnetic Resonance Imaging of the Brain and Spine. - edition. Lippincott Williams & Wilkins, 2009. 1890 pp. ISBN 9780781769853.
Reference[edit | edit source]
- ↑ DAS, Joe M – HOANG, Stanley – MESFIN, Fassil B, et al. Intramedullary Spinal Cord Tumors [online] . 1. edition. StatPearls [Internet] : StatPearls Publishing, 2020. Available from <https://www.ncbi.nlm.nih.gov/books/NBK442031/>.
- ↑ a b c
- ↑ a b
- ↑ a b c d e f g h i j
- ↑
- ↑
- ↑
- ↑
- ↑
- ↑
- ↑
- ↑
- ↑
- ↑
- ↑
- ↑
- ↑
- ↑
- ↑
- ↑
- ↑
- ↑
- ↑
- ↑
- ↑
- ↑
- ↑
- ↑ a b c
- ↑
- ↑
- ↑
- ↑
- ↑
- ↑
- ↑
- ↑
- ↑
- ↑
- ↑
- ↑
- ↑
- ↑
- ↑
- ↑
- ↑
- ↑
- ↑
- ↑
- ↑
- ↑ a b
- ↑
- ↑
- ↑
- ↑
- ↑
- ↑
- ↑
- ↑
- ↑
- ↑
- ↑
- ↑
- ↑














