Diseases of the pleura
Pleurisy[edit | edit source]
Pleuritis is an inflammatory disease of the pleura , which often accompanies other pathological processes of the pleura, adjacent lung tissue, mediastinal organs or the chest wall. It most often has the nature of serous inflammation . The worst form of pleuritis in terms of prognosis is empyema .
According to the content of the pleural cavity, we distinguish:
- dry , pleuritis sicca – without the presence of fluid in the pleural cavity,
- wet , pleuritis humida – fluid is present in the pleural cavity, a fluidothorax is formed , the fluid either contains proteins (exudate) or is only an ultrafiltrate of plasma (transudate).
Clinical picture[edit | edit source]
Dry pleurisy[edit | edit source]
- Chest pain, restriction of breathing movements, irritating cough, temperature,
- aurally – friction murmur .
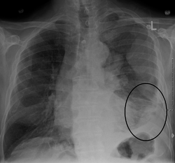
Moist pleuritis[edit | edit source]
- Fluid accumulates between the sheets of the pleura,
- The pain originates from irritation of the parietal pleura, it can spread to the shoulder, abdomen or neck, especially when breathing, coughing, sneezing
- Faster and more shallow breathing
- Shortness of breath, dry cough
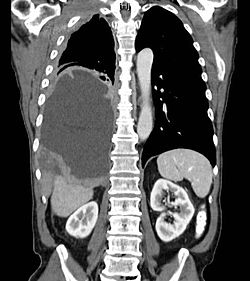
Diagnostics[edit | edit source]
- Physical examination – dulled percussion, weakened alveolar respiration, decreased fremit and bronchophonia,
- X-ray - shadowing above the diaphragm, disappearance of the angle above the diaphragm - a side image must also be taken to confirm.
- chest ultrasonography
If we detect fluid in the pleural cavity, it is necessary to search for its origin. We perform a pleural puncture , thereby reducing the patient's shortness of breath and discomfort.
We will examine the liquid:
- bacteriological,
- biochemically,
- cytologically.
We must distinguish between transudate and exudate:
- transudate – mostly bilateral, protein-poor
- occurs in heart defects in heart failure, cirrhosis, nephrotic syndrome, peritoneal dialysis, collagenoses, pulmonary embolism
- exudate – mostly one-sided, rich in proteins
- inflammations, tumors, tuberculosis , hemothorax , perforation of the esophagus , pancreatitis
Performing a puncture [ edit | edit source ][edit | edit source]
The puncture is performed sitting in the 7th intercostal space in the posterior axillary line (the level of the tip of the scapula when the arm is raised).
- after pharmacological sedation, LA and during saturation monitoring,
- we guide the needle at the upper edge of the rib,
- after the end, it is necessary to apply a compression bandage.
Complications – pneumothorax , hemothorax .
Therapy[edit | edit source]
- It depends on the cause
- puncture or drainage,
- in ATB empyema .
Mesothelioma[edit | edit source]
Mesothelioma is a tumor arising from the mesothelium (the lining of the body cavities originating from the coelomic epithelium - of mesodermal origin).
Pathology[edit | edit source]
Microscopically, the mesothelium consists of one layer of flat cells attached to the basement membrane, under which there is a layer of subserous tissue , its cells retain the ability of double differentiation - towards epithelioid and fibrous structures. The microscopic forms of tumors also correspond to this :
- epithelial – papillae covered with flattened cells,
- fibrous (mesenchymal) - spindle-shaped cells with the appearance of fibroblasts ,
- mixed (biphasic) – the presence of both an epithelial and a fibrous component.
The biological nature of mesothelioma can be benign or malignant (malignant mesothelioma is characterized by implantation metastases - dissemination through the serosa (so-called diffuse malignant mesothelioma ), a plate-like thickening of the visceral and parietal serous sheet is formed, and the tumor invasively grows into the body wall and internal organs ).
Macroscopically, mesotheliomas appear as:
- diffuse – mainly epithelioid mesotheliomas,
- localized – primarily fibrous mesotheliomas.
Location of mesotheliomas: pleura , pericardium , peritoneum , periorchium (here they are called adenomatoid tumors and are always benign).
Clinical part[edit | edit source]
Symptoms - chest pain and shortness of breath (often associated with hemorrhagic effusion in the pleural cavity).
Examination methods - X-ray, CT, HRCT, biopsy of the pleura (peritoneum), examination of exudate .
Mesothelioma as an occupational disease is usually related to many years of exposure to asbestos. It usually takes up to several decades (even more than 50 years) from exposure to the formation of a tumor.
Therapy : blocking of nucleotide formation, Pemetrexed, Cis-platinum
Reference[edit | edit source]
- HRODEK, Otto and Jan VAVŘINEC, et al. Pediatrics. 1st edition. Prague: Galén, 2002. p. 227. ISBN 80-7262-178-5 .




