Mamma non lactans - HE
From WikiLectures
Mamma non lactans – HE 0.6x
Mamma non lactans:
- 1) L – lobule
- 2) IAD –intralobular duct
- 3) IAV – intralobular ligament / intralobular stroma
- 4) IED – interlobular duct
- 5) IEV – interlobular ligament / interlobular stroma
- 6) MEB – myoepithelial cells
- 7) F – fibroblast
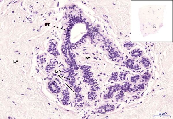
Mamma non lactans – HE 5x
Mamma non lactans:
- 1) L – lobule
- 2) IAD – intralobular duct
- 3) IAV –intralobular stroma
- 4) IED – interlobular duct
- 5) IEV –interlobular stroma
- 6) MEB – myoepithelial cells
- 7) F – fibroblast
Mamma non lactans – HE 20x
Mamma non lactans:
- 1) L – lobule
- 2) IAD – intralobular duct
- 3) IAV – intralobular stroma
- 4) IED – interlobular duct
- 5) IEV – interlobular stroma
- 6) MEB – myoepithelial cells
- 7) F – fibroblast
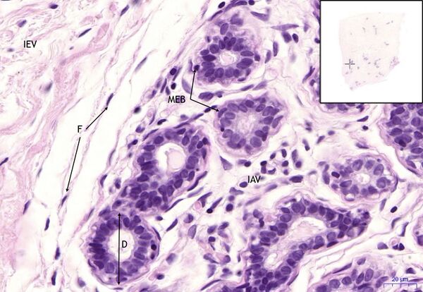
Mamma non lactans – HE 40x
Mamma non lactans:
- 1) L – lobule
- 2) IAD – intralobular duct
- 3) IAV – intralobular stroma
- 4) IED – interlobular duct
- 5) IEV – interlobular stroma
- 6) MEB – myoepithelial cells
- 7) F – fibroblast
| Navigation: Epithelial / Epithelial tissue | ||||
|---|---|---|---|---|
| ← Preparation no. 15 | | | List of preparations | | | Preparation no. 17 → |
| Navigation: Skin system / Skin | ||||
|---|---|---|---|---|
| ← Preparation K7 | | | List of preparations | | | Preparation K9 → |




