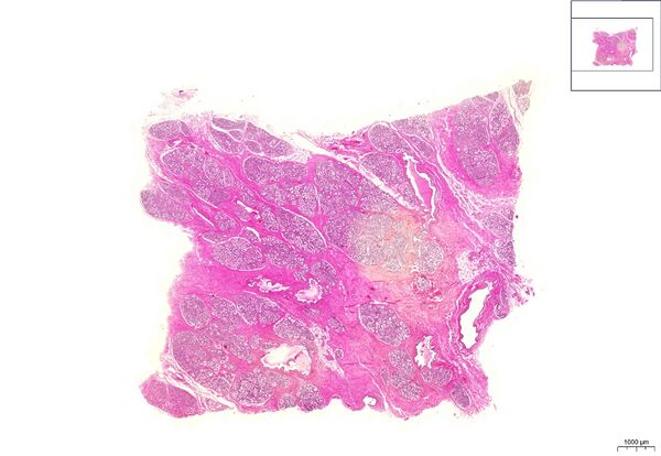
Mamma lactans - HE
From WikiLectures
Mamma lactans – HE 0.5x
Mamma lactans:
- 1) L – lobule
- 2) IAV – intralobular stroma
- 3) IED – interlobular duct
- 4) IEV –interlobular ligament / interlobular stroma
- 5) A – alveoli
- 6) RA – branching alveoli
- 7) TT – adipose tissue
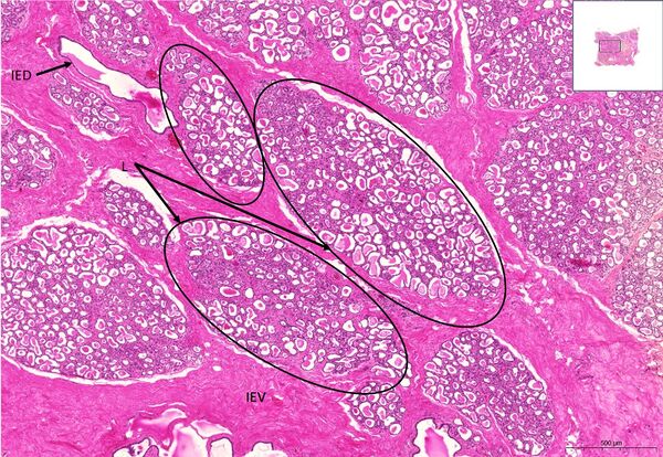
Mamma lactans – HE 5x
Mamma lactans:
- 1) L – lobule
- 3) IED – interlobular duct
- 4) IEV –interlobular ligament / interlobular stroma
Mamma lactans – HE 10x
Mamma lactans:
- 1) L – lobule/lobule
- 2) IAV – intralobular ligament / intralobular stroma
- 3) IED – interlobular duct
- 4) IEV –interlobular ligament / interlobular stroma
- 5) A – alveoli
- 6) RA – branching alveoli
- 8) V – vein
Mamma lactans – HE 20x
Mamma lactans:
- 1) L – lobule
- 2) IAV – intralobular ligament / intralobular stroma
- 3) IED – interlobular duct
- 4) IEV –interlobular ligament / interlobular stroma
- 5) A – alveoli
- 6) RA – branching alveoli
- 7) TT – adipose tissue
- 8) V – vein
| Navigation: Epithelial / Epithelial tissue | ||||
|---|---|---|---|---|
| ← Preparation no. 14 | | | List of preparations | | | Preparation No. 16 → |
| Navigation: Skin system / Skin | ||||
|---|---|---|---|---|
| ← Preparation K8 | | | List of preparations | | | Preparation K1 → |




