Fibrinous pericarditis (preparation)
Histology[edit | edit source]
Causes[edit | edit source]
Causes of fibrinous pericarditis include:
- myocardial infarction ,
- uremia ,
- some viruses (coxsackie),
- rheumatic fever ,
- systemic diseases of the connective tissue – lupus erythematosus] ,
- radiation damage,
- reactions after cardiac operations with pericardiotomy,
- pericarditis without known cause.
Macroscopy[edit | edit source]
Both leaves of the pericardium are covered with fibrin plaques , which cause a dull to rough (fringed) appearance of the surface. In severe cases, the layer of fibrin can be several millimeters thick, sticking both sheets together.
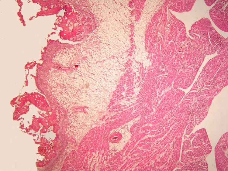
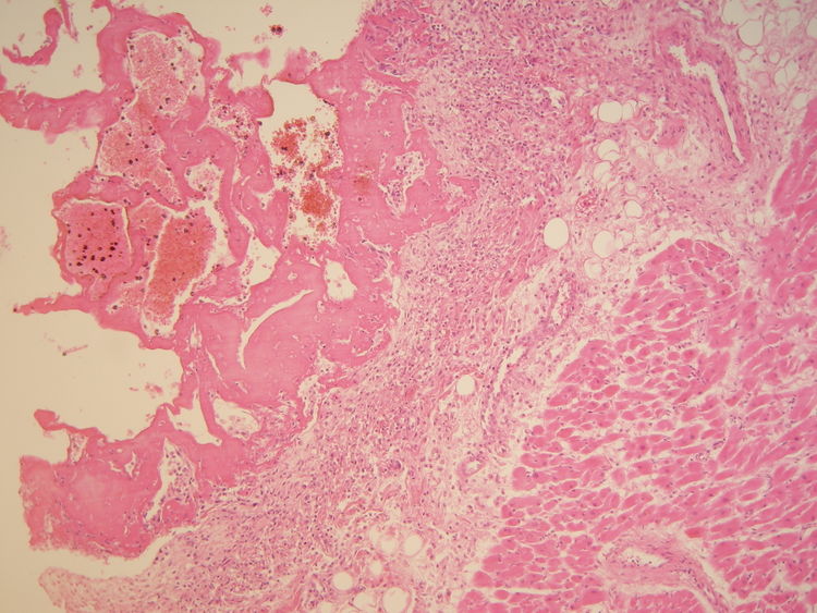
Microscopy[edit | edit source]
On the epicardial surface, there are amorphous, strongly eosinophilic masses formed by fibrin and mixed inflammatory cellularization ( neutrophils , macrophages , lymphocytes ). From the side of the epicardium, the growth of fibroblasts and capillaries of granulation tissue (organization) is visible during healing .
Prognosis and complications[edit | edit source]
During the healing of fibrinous pericarditis, fibrous adhesions can form between both pericardial sheets. Adhesions can be focal or diffuse and lead to partial or complete obliteration of the pericardial cavity. Dystrophic calcifications are also often present.[1]
Links[edit | edit source]
Related Articles[edit | edit source]
External links[edit | edit source]
References[edit | edit source]
- ↑ BRYCHTOVÁ, Svetlana – HLOBILKOVÁ, Alice. Histopatologický atlas. 1. edition. Grada, 2008. 112 pp. ISBN 978-80-247-1650-3.
References[edit | edit source]
- POVÝŠIL, Ctibor – ŠTEINER, Ivo – BARTONÍČEK, Jan. Speciální patologie. 2. edition. Galén, 2007. 430 pp. ISBN 978-807262-494-2.
- BRYCHTOVÁ, Svetlana – HLOBILKOVÁ, Alice. Histopatologický atlas. 1. edition. Grada, 2008. 112 pp. ISBN 978-80-247-1650-3.


