Nervus opticus - HE
From WikiLectures
Optic nerve – HE, 1.6x
Optic nerve:
- 1) NO – optic nerve
- 2) M – meninges/menings
- 3) CAR – central retinal artery / central retinal artery
- 4) CVR – central retinal vein / central retinal vein
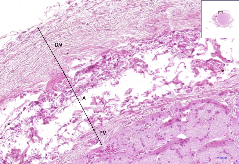
Optic nerve – HE, 11.7x
- 1) PM – pia mater
- 2) DM – dura mater
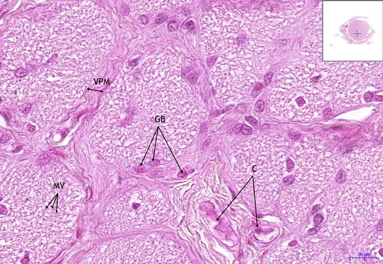
Optic nerve – HE, 40x
- 1) VPM – connective tissue of pia mater
- 2) MV – myelinated fibers
- 3) GB – glial cells
- 4) C – blood vessels
| Navigation: Sense organs | ||||
|---|---|---|---|---|
| ← Preparation A3 | | | List of preparations | | | Preparation A6 → |



