Module GFPP - Practice no. 10
|
This article was marked by its author as Under construction, but the last edit is older than 30 days. If you want to edit this page, please try to contact its author first (you fill find him in the history). Watch the discussion as well. If the author will not continue in work, remove the template Last update: Monday, 08 Dec 2014 at 5.30 pm. |
|
|
|
|
|
|
|
|
| |
|
|
|
|
|
|
|
|
|
|
|
|
|
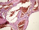
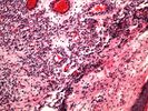
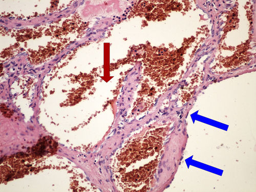
Slide no.1 and no.2 - kavernósní hemangiom jater
Structures to know
- hemangiom
- jaterní parenchym
- blandní epitelie - stěna hemangiomu
Slide no.3 and no.4 - nádor z granulárních buněk
File:Z 8-11 granular cell tumor nador z granularnich bunek 4x oznaceno.jpg File:Z 8-11 granular cell tumor nador z granularnich bunek 20x oznaceno.jpg
Structures to know
- masa nádoru
- pseudoepiteliomatózní hyperplazie dlaždicového epitelu sliznice jícnu
- granulární cytoplazma
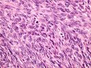
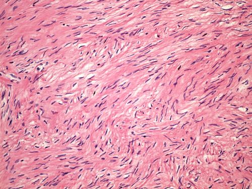
Slide no.5 and no.6 - leiomyom dělohy
Structures to know
- vřetenité buňky
- doutníkovitá jádra
Slide no.7 and no.8 - leiomyocelulární sarkom
File:Z 8-13 leiomyocellular sarcoma leiomyocelularni sarkom 40x oznaceno.jpg
Structures to know
- vyšší buněčnost než u preparátu no. 5
- pravidelné mitózy
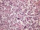
Slide no.9 and no.10 - polymorfocelulární sarkom
File:Z 8-18 pleomorphic sarcoma polymorfocelularni sarkom 20x oznaceno.jpg
Structures to know
- atypické elementy rhabdomyoidnho vzhledu
- cytologické atypie
Slide no.11 and no.12 - rhabdomyosarkom
File:Z 8-19 rhabdomyosarcoma 20x oznaceno.jpg
Structures to know
- atypické elementy
Slide no.13 and no.14 - lipom
File:Z 8-5 lipoma lipom 20x oznaceno.jpg
Structures to know
- vyzrálá tuková tkáň
- jádro na periferii
Slide no.15 and no.16 - liposarkom
Structures to know
- vyšší buněčnost
- cytologické atypie
Slide no.17 and no.18 - dermatofibrom
File:Z 8-7 dermatofibroma 4x oznaceno.jpg File:Z 8-7 dermatofibroma 20x oznaceno.jpg
Structures to know
- pseudoepiteliomatózní hyperplazie epidermis
- vlastní tumor
- storiformní uspořádání
Slide no.19 and no.20 - kapilární hemangiom kůže
File:Z 8-9 capillary haemangioma skin kapilarni hemangiom kuze 4x oznaceno.jpg File:Z 8-9 capillary haemangioma skin kapilarni hemangiom kuze 20x oznaceno.jpg
Structures to know
- epidermis
- blandní endotelové výstelky cév
Slide no.21 and no.22 - fibroxanthom
File:Z8-8 fibroxanthoma 4x oznaceno.jpg File:Z8-8 fibroxanthoma 20x oznaceno.jpg
Structures to know
- tumor
- epidermis
- jednojaderné nádorové buňky
- floret cells
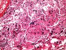
Slide no.23 - maligní fibrosní histiocytom
Odkazy




















