Lymph node - Ag
From WikiLectures
Lymph node, Ag 1x
Lymph node:
Lymph node, Ag 2x
Lymph node:
- 1) P – capsule
- 2) SS – subcapsular sinus
- 3) LU – lymph node
- 4) T – trabeculae
- 5) ALC – afferent lymph vessel
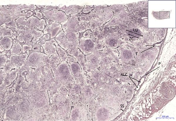
Lymph node, Ag 13.4x
Lymph node:
- 1) P – capsule
- 2) SS – subcapsular sinus
- 3) LU – lymph nodule
- a) ZC – germinal center
- 4) ALC – afferent lymph vessel
- a) CH – valve
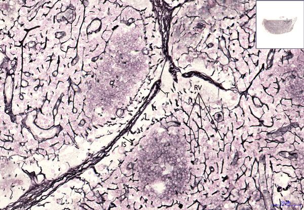
Lymph node, Ag 20x
Lymph node:
- 1) T – trabeculae
- a) IS – interfollicular sinus
- 2) RV – reticular fibers
- 1) P – case/capsule
- 2) SS – subcapsular sinus
| Navigation: Immune system / Immune system | ||||
|---|---|---|---|---|
| ← Preparation L1 | | | List of preparations | | | Preparation L3 → |




