Langerhans islet
Pancreas - clear enlargement (HE)[edit | edit source]
Description: 1 – islet of Langerhans (endocrine part of the pancreas), 2 – serous acini (exocrine part of the pancreas having ducts – 3), 3 – lumen of the large interlobar duct, 4 – single-layer cylindrical epithelium of the duct, 5 – connective tissue capillaries and containing a system of ducts, 6 – fibrous septum and interlobar duct.
Islet of Langerhans - detail (HE)[edit | edit source]
Description: 1 – islet of Langerhans (endocrine part of the pancreas), 2 – serous acini (exocrine part of the pancreas), dark for marked basophilia of the cytoplasm (basophilia is conditioned by the granular endoplasmic reticulum).
Islet of Langerhans - detail (HE)[edit | edit source]
Description: 1 – capillary in the islet of Langerhans (endocrine part of the pancreas, hormones produced in the islet are secreted into the lumen of the capillaries), 2 – serous acini (the exocrine part of the pancreas has a duct system for excreting digestive juice, see specimen no. 1)
Islet of Langerhans - detail (depicting the ligament)[edit | edit source]
Description: The islet of Langerhans is surrounded by a fibrous capsule (red), fibrous septa also separate the individual acini of the exocrine pancreas.
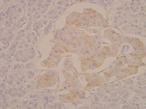
Islet of Langerhans - detail (immunohistochemical evidence of C - peptide in beta cells)[edit | edit source]
Description: Beta cells are in the center of the islet (produce insulin), alpha cells (produce glucagon) and delta cells (produce somatostatin) are peripheral.
note: C-peptide (colored golden) is produced during the release of insulin into the blood (by splicing the insulin polypeptide chain), so it is a product of the beta cells of the islets of Langerhans.
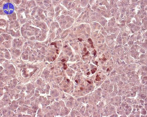
Islet of Langerhans – detail (immunohistochemical evidence of D cells)[edit | edit source]
Description: delta cells (produce somatostatin) are peripherally in the islet.
Islet of Langerhans – semi-thin section (toluidine blue)[edit | edit source]
Description: K – capillary with erythrocyte on cross section, Ery – erythrocyte in capillary, A – acinus, L – islet of Langerhans.







