Esophagus - HE
From WikiLectures
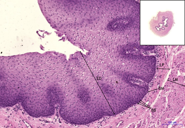
Esophagus, HE 11,2x
Stratified squamous non-keratinized epithelium
- ED – dlaždicový epitel/squamous epithelium
- BM – basement membrane
- BB – basal layer of cells
- LP – lamina propria
- LM – lamina muscularis
- Other examples:
Oral cavity, larynx, vagina (34)
| Navigation: Epithelial tissue | ||||
|---|---|---|---|---|
| ← Slide 8 | | | List of the slides | | | Slide 10 → |
Esophagus, HE 0,5x
Esophagus.
Esophagus, HE 2x
Esophagus:
- 1) TM – tunica mucosa
- 2) ED – stratified squamous epithelium
- 3) LP – lamina propria
- 4) LPM – lamina propria mucosae
- 5) LM – lamina muscularis mucosae
- 6) TS – tunica submucosa
7) TME – tunica muscularis externa
- a) VC – inner circular layer
- b) ZL – outer longitudinal layer
- 4) TA – tunica adventitia
- note: Short abdominal part of esophagus is covered with serosa (tunica serosa).
Esophagus, HE 5x
Esophagus:
- 1) TM – tunica mucosa
- 2) ED – stratified squamous epithelium
- 3) LP – lamina propria
- 4) LPM – lamina propria mucosae
- 5) LM – lamina muscularis mucosae
- 6) TS – tunica submucosa
7) TME – tunica muscularis externa
- a) VC – inner circular layer
- b) ZL – outer longitudinal layer
Esophagus, HE 10x
- 1) TM – tunica mucosa
- 2) ED – stratified squamous epithelium
- 3) LP – lamina propria
- 4) LPM – lamina propria mucosae
- 5) LM – lamina muscularis mucosae
- 6) TS – tunica submucosa
- a) MŽ – esophageal glands (mucinous)
- b) V – excretory duct
| Navigation: Urinary system | ||||
|---|---|---|---|---|
| ← Slide Z8 | | | List of the slides | | | Slide Z10 → |

