Testes (slide)
From WikiLectures
Overview[edit | edit source]
Slide 1[edit | edit source]
Title: Seminiferous tubules, lower magnification
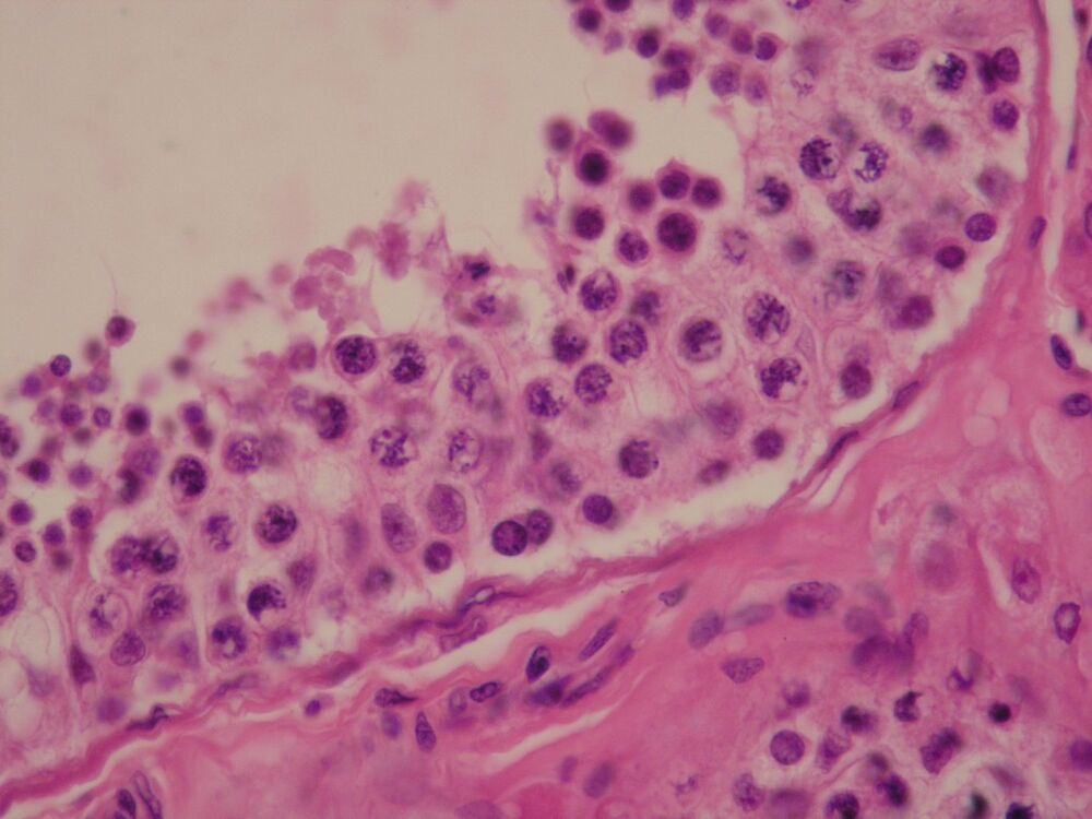
Slide 2: Leydig cells[edit | edit source]
Slide 3[edit | edit source]
Slide 4[edit | edit source]
Survey – we need your response
Good day, WikiLectures editors.
Recently, new articles have been appearing on the project, and existing content has been actively updated. As a former Head Editor of WikiLectures and an active administrator of WikiSkripta, I would like to ask what has prompted this renewed activity on the site (a new elective course? a new editorial team?). Please let us know via form or via email.
Best regards, Sofia.
Title: Seminiferous tubules, lower magnification