Rabdomyoma
(Redirected from Rabdomyom)
Rhabdomyoma is a rare, completely benign tumor. It is a variant of rhabdomyosarcoma. Both tumors originate in the mesenchyme, specifically in the striated muscle.[1]
Distribution[edit | edit source]
The tumor can appear prenatally or postnatally. We therefore distinguish 2 forms:
- adult;
- fetal.
According to the location of the tumor, we distinguish 2 types:
- cardiac (in the heart), may occur in connection with tuberous sclerosis or alone;
- extracardiac (soft tissues), head, neck.
Macroscopy[edit | edit source]
The tumor typically occurs in children under 1 year of age. Macroscopically, they appear as multiple bright nodes in the myocardium that pass into the heart cavities.
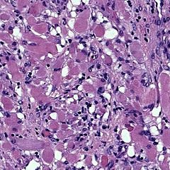
Microscopy[edit | edit source]
In the microscope we see large cells with a large cytoplasm full of glycogen vacuoles, between the vacuoles there are thin strips of cytoplasm between the nucleus and the cell membrane - the so-called spider cells. In addition, we detect actin and desmin in tumor cells, which proves that the tumor cells have a muscular origin. [1]
Prognosis[edit | edit source]
It depends on the extent of the disability. If the child does not die, the nodes regress over time.
Links[edit | edit source]
Related articles[edit | edit source]
Reference[edit | edit source]
References[edit | edit source]
Category: Oncology Category: Internal Medicine Category: Cardiology


