Muscular artery (a. renalis) - HE
From WikiLectures
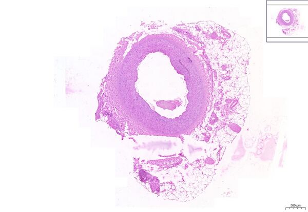
Muscular artery HE 1,9x
Muscular artery HE
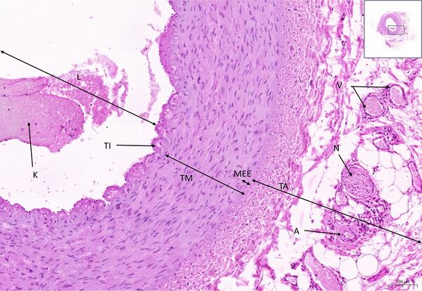
- 1. TI - tunica intima
- a)E – endothelium
- b) MEI – membrana elastica interna
- 2.TM - tunica media
- a) JSB - muscle cell nucleus
- b) EV - elastic fibres
- 3. MEE- membrana elastica externa
- 4. TA - tunica adventicia
- 5. TT - adipose tissue
- 6. K – blood
- 7. C - blood vessels (vasa vasorum)
- a) A – artery
- b) V - vein
- 8. L - lumen
- 9. N – nerves
Muscular artery HE 5x
Muscular artery HE
- 2.TM - tunica media
- 4. TA - tunica adventicia
- 5. TT - adipose tissue
- 6. K – kblood
- 7. C - blood vessels (vasa vasorum)
- 8. L - lumen
- 9. N – nerves
Muscular artery HE 10x
Muscular artery HE
- 1. TI - tunica intima
- 2.TM - tunica media
- b) EV - elastic fibres
- 3. MEE- membrana elastica externa
- 4. TA - tunica adventicia
- 5. TT - adipose tissue
- 6. K – blood
- 7. C - blood vessels (vasa vasorum)
- a) A – artery
- b) V - vein
- 8. L - lumen
- 9. N – nerves
Muscular artery HE 40x
Muscular artery HE
- 1. TI - tunica intima
- a)E – endothelium
- b) MEI – membrana elastica interna
- 2.TM - tunica media
- a) JSB - muscle cell nucleus
- b) EV - elastic fibres
| Navigation: Circulatory system | ||||
|---|---|---|---|---|
| ← Slide C2 | | | List of slides | | | Slide C4 → |




