Histology MCQs/Skin II

From WikiLectures

1 {What is main function of Langerhans cells of epidermis?

Antigen-presenting cells
Epidermal stem cells
Mechanoreceptors
Thermoreceptors

2 Which type of cell junction connects keratinocytes to epidermal basement membrane?

Tight junctions
Hemidesmosomes
Gap junctions
Desmosomes

3 Tonofilaments are structures inside keratinocytes. To which group of proteins does belong their main protein?

Vimentins
Keratins
Desmins
Aktins

4 Which layer of epidermis is defined by presence of numerous keratohyaline granules?

Stratum lucidum
Stratum granulosum
Stratum spinosum
Stratum basale

5 Lamellary bodies contain huge amount of one type of an organic compoun- Which one?

Oligosaccharides
Polysaccharides
Nucleic acids
Lipids

6 Which aminoacid is main material for production of melanin in melanocytes?

Tyrosine
Arginine
Proline
Lysine

7 Which type of tissue is main tissue of the reticular layer of dermis?

Dense irregular connective tissue
Dense regular connective tissue
Loose connective tissue
Reticular tissue

8 Which type of secretion is main for sebaceous glands?

Holocrine
Merocrine
Endocrine
Apocrine

9 Which of following regions contains sebaceous glands associated with hair follicles?

Vermillion border of the lip
Hypochondriaca region
Nipple
Penis

10 Which type of gland is common sweat gland?

Simple coiled tubular gland
Simple coiled acinar gland
Branched tubular gland
Branched acinar gland

11 Which structure is highlighted by green color on the specimen of skin (hematoxylin-eosin)?

Skin Sweat.png

Ductus of an aromatic gland
Ductus of a sebaceous gland
Ductus of a sweat gland
Hair follicle

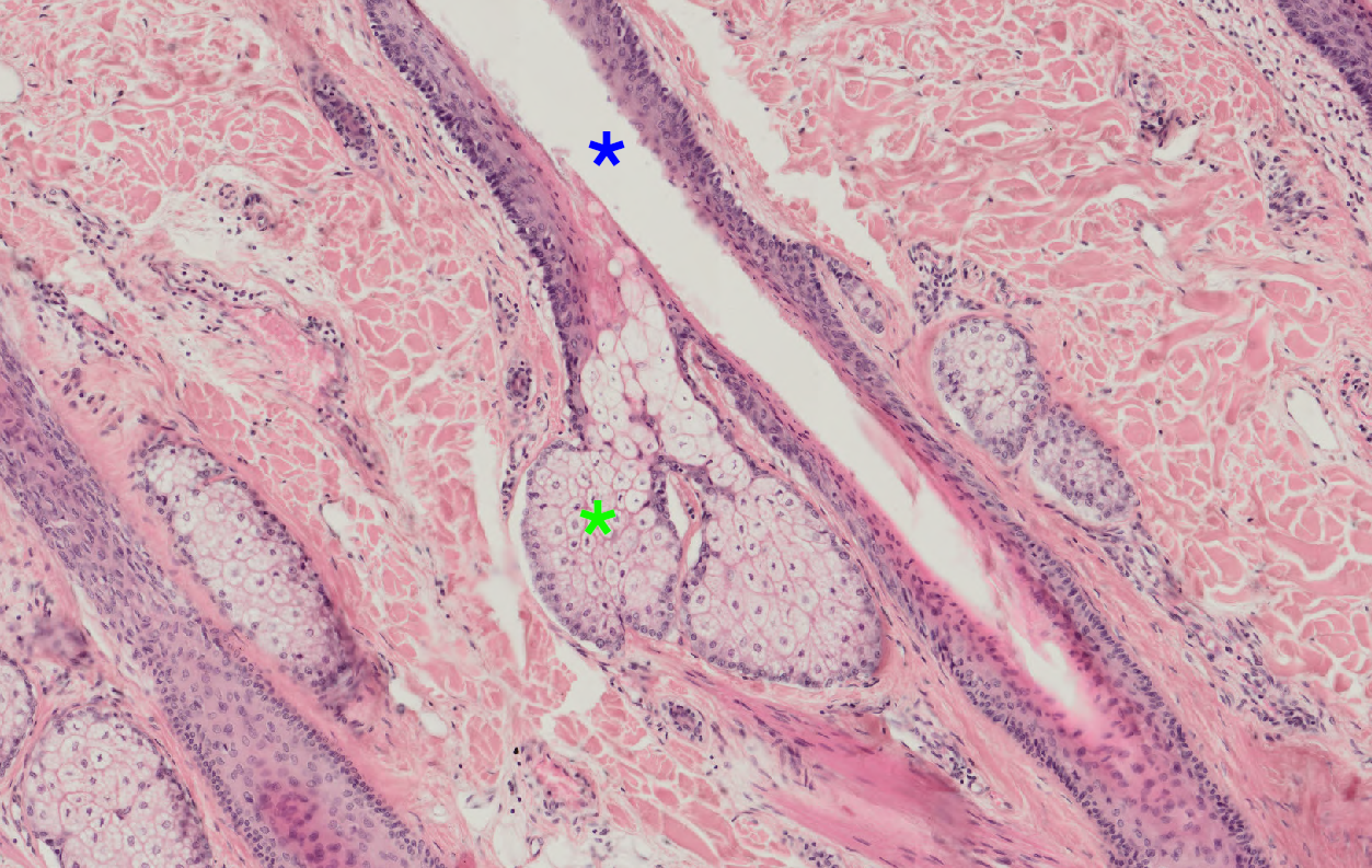
12 On the picture of thin type of skin (hematoxylin eosin), green asterisk denotes a sebaceous gland. Which structure is labeled by blue asterisk? Skin Sebaceous.png

Ductus of a sebaceous gland
Ductus of a sweat gland
Hair follicle
Artifact

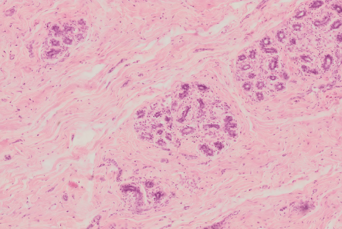
13 Which of following descriptions matches the specimen on the picture the best?

Mammary Gland before Lactation.png

Incomplete gland, contains ducts and a few alveoli only, embedded into the connective tissue
Incomplete gland, contains ducts and a few alveoli only, embedded into the adipose tissue
Tuboalveolar gland with rich branching, embedded into the connective tissue
Tuboalveolar gland with rich branching, embedded into the adipose tissue

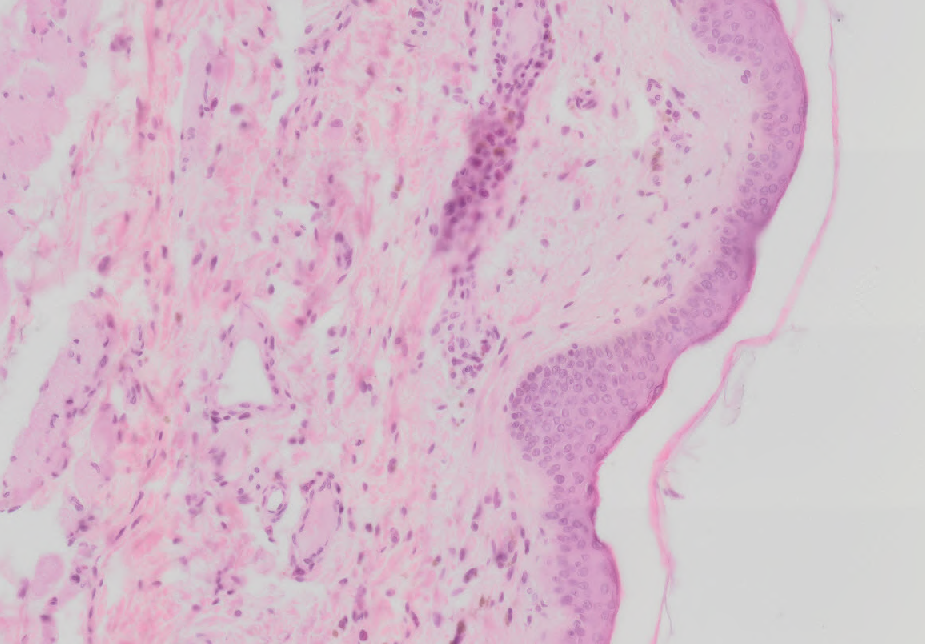
14 On the picture, there is a thin type of skin stained with hematoxylin eosin. What is the thin eosinophilic strip over the epithelium od the right side of the specimen?

Thin Type of Skin.png

Some tissue from clothes, the specimen was harvested and processed really quickly
Incomplete stratum corneum; main part is often lost during the processing
Complete stratum corneum; this is why the skin is called thin type
Artifact from the staining


Links[edit | edit source]