Epididymis - HE
From WikiLectures
Epididymis, HE, 0,5x[edit | edit source]
- Epididymis:
Epididymis, HE, 5x[edit | edit source]
- 1) TA – tunica albuginea
- 2) DED – ductus epididymidis
- 3) EC – columnar epithelium
- 4) ISV –interstitial connective tissue
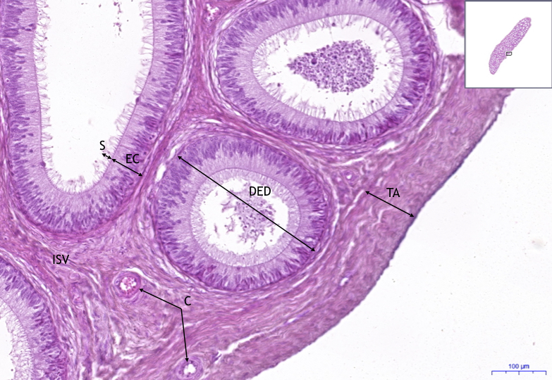
Epididymis, HE, 10x[edit | edit source]
- Epididymis:
- 1) TA – tunica albuginea
- 2) DED – ductus epididymidis
- 3) EC – columnar epithelium
- 4) ISV – interstitial connective tissue
- 5) S – stereocilia/ stereocilia
- 5) C – blood vessels
Epididymis, HE, 40x[edit | edit source]
- Epididymis:
- 1) DED – ductus epididymidis
- 2) EC – columnar epithelium
- a) BB – bazální buňky/ basal cells
- b) CB – columnar cell
- 3) ISV – interstitial connective tissue
- 4) S – stereocilia/ stereocilia
- 5) SB – muscle cell
- 6) C – blood vessels
[edit | edit source]
| Navigation: Digestive system / Digestive tract | ||||
|---|---|---|---|---|
| ← Preparation M1 | | | List of preparations | | | Preparation M3 → |


